C’è un batterio nell’acqua, 250 persone con vomito e dissenteria nel Pescarese, chiuso acquedotto
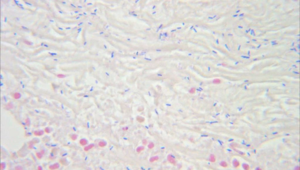
Pescara. Ci sarebbe un batterio termoresistente, il Clostridium perfringens, all’origine dei casi di infezione gastrointestinale registrati a San Valentino in Abruzzo Citeriore e nelle zone limitrofe.È emerso dalle prime analisi per la verifica della qualità dell’acqua, secondo quanto riferito dal sindaco Antonio D’Angelo, informato telefonicamente dalla Asl di Pescara. Intanto i casi di gastroenteriti sono … Leggi tutto C’è un batterio nell’acqua, 250 persone con vomito e dissenteria nel Pescarese, chiuso acquedotto
Copia e incolla questo URL nel tuo sito WordPress per farne l'embed
Copia e incolla questo codice nel tuo sito per farne l'embed